![]() | ![]() | ![]() | ![]() | ![]() |
|---|---|---|---|---|
![]() | ![]() | ![]() | ![]() | ![]() |
![]() | ![]() |
What We Do
• Digital x-rays (90% less radiation than old x-rays)
• Intraoral camera to take pictures of your teeth
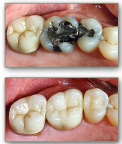
• Tooth colored white fillings which actually strengthen teeth
• Full Porcelain (esthetic) crowns to repair/protect teeth
• Clear Braces and Invisalign for treating adults to straighten teeth
• Implant restorations (artificial permanent replacement for missing teeth)
• Veneers to improve the appearance of your teeth
• Laser Dentistry
• Replacing lost teeth with comfortable and esthetic dentures
• Comfortable removal of broken or painful teeth
• Whitening
• Occlusal therapy to help TMJ discomfort/grinding problems
• Sleep apnea therapy using removable appliances.
Call Us Today for your
FREE* Consultation
*X-Rays not included
Payments We Accept
Thomaston Family Dental is in network with a number of PPO dental insurance plans and also accepts Medicaid patients. In addition to participating with insurances, we also offer multiple payment options, such as In Office Financing and Care Credit to suit your budget and help you achieve your oral health goals.













